The bladder, which sits in the lower pelvic cavity, stores urine until it’s ready for excretion via the urethra. The organ is home to three layers of flexible, muscular walls that contract when we urinate; these walls expand as the bladder fills up with urine. Bladder polyps are abnormal growths in the bladder lining that can cause symptoms like blood in the urine, frequent urination, or pain. While some are harmless, others may be cancerous, making early detection and treatment essential. Understanding what bladder polyps are, what causes them, and how they’re diagnosed or treated can help you navigate the condition with greater confidence. In this article, we’ll cover key topics like causes, cancer risk, common symptoms, diagnostic methods, and treatment options for bladder polyps.

What Are Bladder Polyps?
Is a Polyp a Tumor?
Bladder polyps are abnormal growths that form in the lining of the bladder, caused by an overgrowth of cells. The exact cause of this cell growth is often unknown. Many polyps are benign (non-cancerous). However, some can be cancerous and develop into tumors. This means they typically require medical attention, such as regular monitoring or surgical removal. While being diagnosed with bladder polyps can be frightening, understanding what they are can help you approach the situation with a more informed and realistic mindset.
What Percentage of Bladder Polyps are Benign?
It's challenging to determine an exact percentage of bladder polyps that are non-cancerous. However, one study found that the presence of an abnormal bladder mass led to cancer diagnosis in about 50% of cases (four of eight individuals tested)2. Other sources suggest that the majority of masses in the bladder are likely to be cancerous3,4. Imaging alone is not enough to diagnose bladder cancer, and removal of the polyp or mass is typically used to confirm the presence of a malignant tumor5.
Are Bladder Polyps Serious?
Bladder polyps can be potentially serious, so medical evaluation is typically necessary when they are detected. If left untreated, these polyps may develop into bladder cancer. Untreated cancers can spread through the bladder wall to other areas of the body, becoming very challenging to manage or treat6.
Symptoms and How Bladder Polyps Are Diagnosed
Symptoms of Bladder Polyps
Bladder polyps can cause a variety of symptoms, often due to the polyp taking up space in the bladder, interfering with its normal function, or, in more severe cases, pressing against nearby organs. Common symptoms include4:
- Blood in urine
- Frequent urination
- Painful urination
It’s important to discuss any worrying symptoms with your healthcare provider.
Do Bladder Polyps Show up on Ultrasound?
Several imaging techniques are used to examine the bladder and identify masses like polyps. Ultrasound is a valuable, non-invasive option and can help to detect polyps. This technique uses sound waves to produce images of internal structures and can help detect abnormalities within the bladder7. However, ultrasound results can be unclear due to the presence of abdominal inflammation, obesity, and excess gas8.
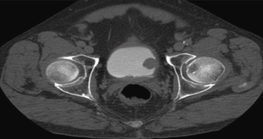
Computed tomography (CT) scans allow radiologists to identify masses in the bladder and to assess structural abnormalities in this organ9. Doctors may also perform a cystoscopy, a procedure that involves inserting a thin tube with a camera through the urethra, to examine the bladder's inner lining and capture bladder polyps images10.
Can an Ultrasound Tell if a Polyp is Cancerous?
Imaging techniques alone are not enough to tell if a polyp is cancerous. Removal of the polyp followed by laboratory analysis is needed to confirm the presence of cancer. Non-invasive imaging tests combined with biopsy and lab analysis are standard diagnostic combinations for bladder cancer5.
Causes and Risk Factors of Bladder Polyps
How Do You Get Polyps in Your Bladder?
The origin of bladder polyps and cancer is unknown in many cases. However, there are some well-established contributing factors. These include11:
- Chronic inflammation - This can be caused by infection or catheter usage and is associated with a type of bladder cancer called squamous cell carcinoma.
- Smoking - Roughly 50 percent of bladder cancer cases are attributable to smoking12.
- Recurrent infections - Repeated urinary tract infections are linked to higher chances of bladder cancer.
- Exposure to certain chemicals - Many toxins leave the body via urine through the bladder, meaning cells can be exposed to chemicals that trigger abnormal growth.
Who Is at Higher Risk?
In addition to smokers and those with recurring infections and inflammation, other populations have a higher risk of developing bladder polyps13.
- Older adults - The risk of developing bladder cancer increases with age.
- Those with occupational exposure - Individuals who work in industries with exposure to chemicals—such as dye manufacturing or rubber processing—may be at increased risk.
- Prior urologic issues - Infection, inflammation, and other issues like bladder stones or a history of urinary tract abnormalities14.
What Does a Cancerous Bladder Look Like?
Malignant bladder tumors often look like irregular lumps or thickened areas on the bladder wall that stand out after contrast dye is used in scans. In more serious cases, they can spread into nearby tissues.
Radiopaedia.org provides scan images of bladder tumors at different stages. Use your mousewheel to scroll through different images from the same scan.
Treatment and Removal Options
What is the Treatment for Bladder Polyps?
Polyps are often surgically removed using a procedure called transurethral resection of bladder tumor (TURBT)15. During this procedure, your surgeon will first insert a cystoscope into your bladder through your urethra. Then, they will use electricity, a wire loop, or a laser to remove the polyp. This procedure is important when testing for malignancy16. After this procedure, there will typically be a period of post-procedure monitoring and follow-up visits. This helps ensure the polyp does not return and allows early detection of any new growths.
How do you get rid of polyps in your bladder?
Other surgical procedures are sometimes used in addition to TURBT. For instance, cystectomy is the removal of part or all of the bladder. This procedure is typically necessary in cases where the tumor has invaded the wall of the bladder. Complete removal (radical cystectomy) is followed by reconstructive surgery to restore the ability to remove urine from the body15.
Should Bladder Polyps Be Removed?
Bladder polyps are generally removed due to their potential to develop into tumors. As we’ve mentioned, 50 percent of growths are malignant, and this may be a conservative estimate. After removal, standard protocol typically includes regular follow-up imaging and, in some cases, repeat biopsies to monitor for recurrence or the development of new abnormal growths.
Cancer Risk, Prognosis, and Recovery
How Likely are Bladder Polyps to Be Cancerous?
As previously mentioned, most bladder polyps are more likely to be malignant than benign. People at higher risk of developing cancerous polyps and bladder cancer often fall into certain categories. These include the risk factors mentioned earlier, such as smoking, older age, and a history of bladder problems like infections or inflammation. However other factors also play a role, including13:
- Ethnicity - White Americans are more likely to develop bladder cancer than African Americans or Hispanics.
- Biological sex - Males are more likely to develop bladder cancer than females.
- Birth defects - In some individuals the bladder or surrounding tissue does not develop properly and can increase the risk of developing bladder cancer.
- Genetics - Some bladder cancers are linked to genetic predispositions. These include mutations in genes like PTEN and RB1.
What Happens if a Removed Polyp is Cancerous?
If a removed polyp is found to be cancerous, a pathology report will provide details about the type, stage, and extent of the cancer. Based on the findings, your doctor may recommend additional steps such as imaging tests to check for spread, and in some cases, further treatment like surgery, chemotherapy, or radiation17.
What is the Recovery Time for Bladder Polyp Removal?
Most people recover from bladder polyp removal within 2–4 weeks, though this can vary based on the size and location of the polyp. Your doctor may recommend temporary activity restrictions and schedule follow-up visits to monitor healing and ensure the polyp does not return16.
Summary: Bladder Polyps: Causes, Cancer Risk and Removal
Bladder polyps are growths that may be benign but can pose serious health risks if left unchecked. Many polyps turn out to be cancerous, meaning that early detection through imaging and confirmation via biopsy is critical. If you notice symptoms like blood in your urine, it’s important to consult a healthcare provider promptly. With the right diagnosis and treatment plan, bladder polyps can be managed effectively, helping individuals safeguard their long-term health.
If you want to be proactive about your health, why not book an Ezra MRI Scan? Our annual scan catches potential cancer earlier, leveraging AI through the screening process to make it more efficient, affordable and faster.
Understand your risk for cancer with our 5 minute quiz.
Our scan is designed to detect potential cancer early.
References
1. Chaabouni A, Samet A, Walha M, Rebai N, Fourati M, Hadjslimene M. Isolated shwannoma of the bladder: A rare entity. Urology Case Reports. 2021;39:101798. doi:10.1016/j.eucr.2021.101798
2. Byler TK, Reeder JE, Nsouli I. Incidental computed tomographic bladder wall abnormalities: harbinger or herring? Urology. 2015;85(2):288-291. doi:10.1016/j.urology.2014.09.045
3. Are All Tumors in the Bladder Cancerous? MedicineNet. Accessed March 27, 2025. https://www.medicinenet.com/are_all_tumors_in_the_bladder_cancerous/ask.htm
4. Is a mass in the bladder always cancer? | Roswell Park Comprehensive Cancer Center - Buffalo, NY. March 2, 2021. Accessed March 27, 2025. https://www.roswellpark.org/cancertalk/202103/mass-bladder-always-cancer
5. Bladder cancer - Diagnosis and treatment - Mayo Clinic. Accessed March 27, 2025. https://www.mayoclinic.org/diseases-conditions/bladder-cancer/diagnosis-treatment/drc-20356109
6. Leslie SW, Soon-Sutton TL, Aeddula NR. Bladder Cancer. In: StatPearls. StatPearls Publishing; 2025. Accessed March 27, 2025. http://www.ncbi.nlm.nih.gov/books/NBK536923/
7. Urinary Tract Imaging - NIDDK. National Institute of Diabetes and Digestive and Kidney Diseases. Accessed March 27, 2025. https://www.niddk.nih.gov/health-information/diagnostic-tests/urinary-tract-imaging
8. Bladder Ultrasound - UDS. June 2, 2023. Accessed March 27, 2025. https://udshealth.com/bladder-ultrasound/
9. Computerized tomography (CT) urogram - Mayo Clinic. Accessed March 27, 2025. https://www.mayoclinic.org/tests-procedures/ct-urogram/about/pac-20393602
10. Gleason JL. Cystoscopy and Other Urogynecologic Procedures. Obstetrics and Gynecology Clinics of North America. 2013;40(4):773-785. doi:10.1016/j.ogc.2013.09.003
11. Bladder cancer - Symptoms and causes. Mayo Clinic. Accessed March 27, 2025. https://www.mayoclinic.org/diseases-conditions/bladder-cancer/symptoms-causes/syc-20356104
12. Smoking and Bladder Cancer Risk. Bladder Cancer Advocacy Network. Accessed March 27, 2025. https://bcan.org/smoking-bladder-cancer-risk/
13. Bladder Cancer Risk Factors | How Do You Get Bladder Cancer? | American Cancer Society. Accessed March 27, 2025. https://www.cancer.org/cancer/types/bladder-cancer/causes-risks-prevention/risk-factors.html
14. Fernando MH, Jayarajah U, Herath KB, de Silva MVC, Goonewardena SAS. Aggressive squamous cell carcinoma of the bladder associated with a history of large bladder stone - a case report. Clin Case Rep. 2017;5(10):1616-1619. doi:10.1002/ccr3.1133
15. Bladder Cancer Surgery | Bladder Resection | Cystectomy. Accessed March 27, 2025. https://www.cancer.org/cancer/types/bladder-cancer/treating/surgery.html
16. bcan_admin. Understanding TURBT: Bladder Tumor Removal Surgery. Bladder Cancer Advocacy Network. June 6, 2022. Accessed March 27, 2025. https://bcan.org/bladder-cancer-turbt/
17. Treating Bladder Cancer | Bladder Cancer Treatment. Accessed March 27, 2025. https://www.cancer.org/cancer/types/bladder-cancer/treating.html
