Bladder stones are hardened lumps of minerals that develop when urine becomes concentrated. They vary in size, with smaller crystals sometimes passing from the bladder naturally, while larger stones cause pain and urinary difficulties by creating blockages in the urinary tract. Bladder stones, sometimes called bladder calculi, share similarities with kidney stones but have different origins, symptoms, and treatments. Bladder stones in women may present with pelvic discomfort, while men often experience pain in the penis or perineum. This blog will explore the symptoms, diagnosis, and treatment of bladder stones and discuss how to decrease your risk of developing calculi.
What are Bladder Stones?
Bladder stones are hard lumps that can form inside the bladder if it doesn’t completely empty of urine. Sometimes called bladder calculi, they can lead to blockages in the urethra, causing pain, discomfort, and infection1.
Bladder Stone Symptoms, Signs, and Appearance
Common Symptoms
Most bladder stones are asymptomatic, as tiny crystals can pass out in your pee. However, large bladder stones cause painful symptoms and lead to long-term damage. Common symptoms of bladder stones include:
- Pain in the lower abdomen
- Pain in vagina or lower pelvic region (women)
- Pain in penis, testicles, perineum (men)
- Pain when peeing or difficulty peeing
- Frequent urination, particularly at night
- Blood in the urine (hematuria)
- Cloudy or dark urine
Severe Symptoms
Severe symptoms can occur if stones grow larger or cause a blockage, leading to infections and bladder damage. These include:
- Severe pain in the lower abdomen
- Inability to urinate
- Foul-smelling or pus-filled urine
- Severe hematuria (blood in the urine)
- Nausea and vomiting
- Urinary Tract Infections (UTIs)
When to Seek Medical Attention
You should contact your healthcare provider if you have persistent symptoms like pain and difficulty peeing or if you experience any severe symptoms. Some signs of bladder stones are also associated with bladder cancer, so it's essential to be proactive about your bladder health.
Bladder Stones vs Kidney Stones
Like bladder stones, kidney stones are masses of crystalized minerals that form in urine. However, as the names suggest, kidney stones form in the kidneys, while bladder stones are made in the bladder. Pain from kidney stones is felt in the back or side rather than in the lower abdomen.

What Causes Bladder Stones?
Some health conditions, infections, and lifestyle factors increase the risk of bladder stones forming.
Underlying Medical Conditions
Prostate gland enlargement - Many men experience enlargement of the prostate as they get older, which can press against the urethra and block the flow of urine from the bladder4.
Neurogenic bladder - Damage to nerves that control bladder function can lead to neurogenic bladder, in which messages between the brain and the urinary system aren’t properly communicated. This can lead to individuals not being able to properly empty their bladder5.
Cystocele - Sometimes called bladder prolapse, cystocele is a condition that affects women in which the bladder drops down into the vagina, blocking the flow of urine6.
Bladder diverticula - Bladder diverticula are pouches that develop in the bladder wall and can prevent proper bladder emptying if they get too big7.
Kidney Stones - If kidney stones become trapped in the bladder, they can grow and become painful bladder calculi.

Role of Dehydration
Staying hydrated dilutes the minerals in your bladder, preventing them from building up and decreasing your risk of bladder stones. If you don’t drink enough water, you increase the chances of minerals in your bladder becoming concentrated and developing into bladder stones.
Impact of Infections
Inflammation of the urinary tract caused by UTIs can also stop urine flow and cause bladder stones8.
Other Risk Factors
Bladder Augmentation - People with urinary incontinence sometimes have bladder augmentation surgery to make their bladder larger. This can make urine pool in the blader, leading to calculi.
Medical Devices - Some medical devices designed to go into your bladder, like catheters, can block the flow of urine, while others, like contraceptive devices, can migrate to the bladder from other parts of the body9.
Diagnosis of Bladder Stones
Physical Examination
For men, your doctor may perform a rectal exam to check for an enlarged prostate, while for women, a pelvic exam may be done to check for bladder-related abnormalities10.
Blood and Urine Tests
Urine tests (urinalysis) and blood tests can show if you have blood in your urine or the kind of minerals that cause bladder stones. Tests for bacteria and white blood cells in your urine can also indicate if you have a UTI, a common symptom of bladder stones.
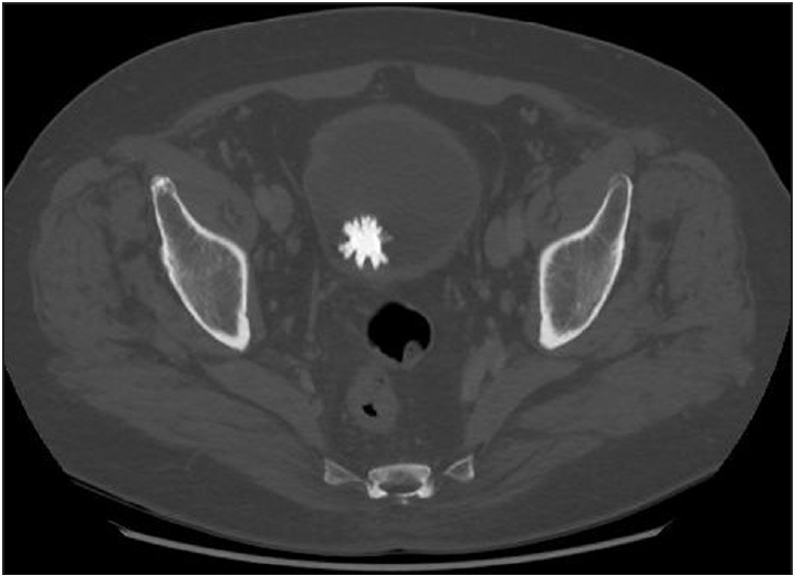
Imaging Tests: Ultrasound, CT Scans, and X-Rays
Diagnosis is done by X-ray, computer tomography (CT) scan, or ultrasound. These imaging tests create a picture of the bladder and urinary tract and detect the location and size of bladder stones10.
Treatment Options for Bladder Stones
Minimally Invasive Procedures
Small bladder calculi might be flushed out with increased water intake, while larger crystals require more invasive procedures or surgery. The most common procedure to remove larger bladder stones is a transurethral cystolitholapaxy11. In this procedure, a surgeon inserts a camera into the urethra to locate bladder calculi and breaks down the stone with an ultrasound, laser, or a mechanical crushing device.
Surgical Interventions
In cases where bladder stones are exceptionally large open surgery may be required. An open cystostomy is a surgical procedure in which a surgeon makes a large incision into the abdomen and bladder to remove a bladder stone. Surgical interventions will have much longer recovery periods and can cause significant pain and discomfort.
Complications of Untreated Bladder Stones
Recurrent Urinary Tract Infections
Bladder stones can cause urinary tract infections (UTIs) by blocking urine flow, generating inflammation in the urine tract, and increasing the chance of bacteria building up. UTIs can also develop as the result of surgery to remove bladder stones and are generally treated using a short course of antibiotics
Bladder Damage
Persistent irritation and inflammation caused by bladder stones can damage the bladder wall, reducing its function and leading to ongoing bladder problems13. Very large stones have serious, long-term impacts on the bladder and urinary tract14.
Preventing Bladder Stones
Lifestyle Modifications
If you are at risk of bladder stones, for example, you suffer from prostate gland enlargement or have undergone bladder surgery, your healthcare provider might suggest some lifestyle modifications to decrease your risk. For example, a technique called double voiding involves urinating a second time 10-20 seconds after you pee to make sure your bladder is completely empty. Staying hydrated by drinking at least 2 liters of water daily and regularly emptying your bladder can also decrease your risk of developing bladder calculi15.
Addressing Underlying Health Issues
The best way to reduce your risk is to address underlying concerns.
- Prostate enlargement can be treated with medications that block testosterone metabolism to shrink the prostate16
- Individuals with neurogenic bladder will often be fitted with a catheter to aid in urination17
- Cysocele can be treated with a device called a pessary, which physically holds the bladder in the correct position
- Bladder diverticula can be removed with surgery
Summary: Understanding Bladder Stones
Bladder stones can cause pain, urinary difficulties, and serious complications if untreated. Recognizing symptoms early and addressing risk factors like dehydration, infections, and prostate enlargement can help prevent them. Staying hydrated, fully emptying your bladder, and seeking medical care for persistent symptoms are key to reducing your risk and maintaining bladder health.
If you want to be proactive about your bladder health, why not book an Ezra MRI Scan? Our annual scan catches bladder cancer earlier, leveraging AI through the screening process to make it more efficient, affordable and faster.
Frequently Asked Questions (FAQ)
Q: What are the first signs of bladder stones?
A: Common early symptoms include pain in the lower abdomen, difficulty or pain when peeing or frequent peeing.
Q: How to get rid of stones in the bladder?
A: Most bladder stones are passed out of your body in your pee, while smaller stones are sometimes flushed out by drinking lots of water. Larger stones might need minimally invasive or surgical procedures to remove.
Q: Can drinking water get rid of bladder stones?
A: Small bladder stones can sometimes be flushed out by drinking lots of water, while larger stones might need to be removed by a surgeon.
Q: What not to drink with bladder stones?
A: Aim to make the majority of your liquid intake water if you are suffering from bladder stones and drink alcohol, coffee, and sugary drinks only in moderation.
Q: What food causes bladder stones?
A: There is limited research into the effects of diet on bladder stone formation. It is always best to maintain a healthy, balanced diet.
Q: Is bladder stone removal a major surgery?
A: transurethral cystolitholapaxy is a minimally invasive surgery, while cystosomy for large bladder stones is an open surgery.
Understand your risk for cancer with our 5 minute quiz.
Our scan is designed to detect potential cancer early.
References
1. Leslie SW, Sajjad H, Murphy PB. Bladder Stones. In: StatPearls. StatPearls Publishing; 2025. Accessed April 3, 2025. http://www.ncbi.nlm.nih.gov/books/NBK441944/
2. Huang W, Cao JJ, Cao M, et al. Risk factors for bladder calculi in patients with benign prostatic hyperplasia. Medicine (Baltimore). 2017;96(32):e7728. doi:10.1097/MD.0000000000007728
3. Manglaviti G, Tresoldi S, Guerrer CS, et al. In Vivo Evaluation of the Chemical Composition of Urinary Stones Using Dual-Energy CT. Am J Roentgenol. 2011;197(1):W76-W83. doi:10.2214/AJR.10.5217
4. Enlarged Prostate (Benign Prostatic Hyperplasia) - NIDDK. National Institute of Diabetes and Digestive and Kidney Diseases. Accessed April 2, 2025. https://www.niddk.nih.gov/health-information/urologic-diseases/prostate-problems/enlarged-prostate-benign-prostatic-hyperplasia
5. Möhr S, Fassbind S, Gahl B, Seifert H, Bausch K. Risk factors of bladder stones in neurogenic lower urinary tract dysfunction: A real‐world study. BJUI Compass. 2024;5(3):359-365. doi:10.1002/bco2.330
6. Makajeva J, Watters C, Safioleas P. Cystocele. In: StatPearls. StatPearls Publishing; 2025. Accessed April 2, 2025. http://www.ncbi.nlm.nih.gov/books/NBK564303/
7. Zhu GG, Siegel CL, Rogers DM, et al. Urinary bladder diverticula: imaging features and complications. Abdom Radiol. Published online February 1, 2025. doi:10.1007/s00261-024-04714-w
8. Nugroho EA, Junita D, Wijaya YH. Giant bladder stone with history of recurrence urinary tract infections: A rare case. Urol Case Rep. 2019;26:100945. doi:10.1016/j.eucr.2019.100945
9. Meena RK, Neogi S, M K, Ghuliani D. Unforeseen Encounters: Managing Intravesical Drains and Secondary Bladder Stones in Clinical Practice. Cureus. 16(8):e67220. doi:10.7759/cureus.67220
10. Diagnosis of Kidney Stones - NIDDK. National Institute of Diabetes and Digestive and Kidney Diseases. Accessed April 2, 2025. https://www.niddk.nih.gov/health-information/urologic-diseases/kidney-stones/diagnosis
11. Donaldson JF, Ruhayel Y, Skolarikos A, et al. Treatment of Bladder Stones in Adults and Children: A Systematic Review and Meta-analysis on Behalf of the European Association of Urology Urolithiasis Guideline Panel. Eur Urol. 2019;76(3):352-367. doi:10.1016/j.eururo.2019.06.018
12. CDC. Urinary Tract Infection Basics. Urinary Tract Infection. April 24, 2024. Accessed April 2, 2025. https://www.cdc.gov/uti/about/index.html
13. Haidari M, Saadaat R, Malakzai HA, Abdul-Ghafar J. Squamous cell carcinoma arising in an epidermal cyst of urinary bladder associated with vesicolithiasis: A case report and review of the literature. Int J Surg Case Rep. 2021;85:106290. doi:10.1016/j.ijscr.2021.106290
14. Wei X, Qin Y, Wang X, et al. Giant bladder stone: A case report. Exp Ther Med. 2022;24(2):535. doi:10.3892/etm.2022.11462
15. Bao Y, Tu X, Wei Q. Water for preventing urinary stones. Cochrane Database Syst Rev. 2020;2020(2):CD004292. doi:10.1002/14651858.CD004292.pub4
16. Benign prostatic hyperplasia | Nature Reviews Disease Primers. Accessed April 2, 2025. https://www.nature.com/articles/nrdp201631
17. Bauer SB. Neurogenic bladder: etiology and assessment. Pediatr Nephrol. 2008;23(4):541-551. doi:10.1007/s00467-008-0764-7
.jpg)