Hearing that you have a “spot on your lung” can be alarming. It’s a phrase that brings to mind serious health concerns. However, in many cases, these spots are benign lung nodules or tumors, and they’re far more common and less dangerous than you might think. In fact, most lung nodules discovered during scans are completely harmless and don’t require any treatment at all. In this guide, we’ll walk you through everything you need to know about benign lung nodules and non-cancerous lung tumors - what they are, why they appear, how they’re diagnosed, and when (if ever) you should worry.
What are Benign Lung Tumours
Benign lung tumors are non-cancerous growths in the lungs that do not spread (metastasize) to other parts of the body. They’re usually discovered accidentally during imaging tests, such as chest X-rays or CT scans, for other reasons. Generally, benign tumors grow slowly, but they can sometimes stop growing or even shrink. These tumors usually don’t require removal or treatment and aren’t life-threatening. While benign lung tumors may grow and press upon neighboring tissue, they won’t invade, eradicate, or replace them.
Understanding the Anatomy of Your Lungs
It’s important to know the anatomy of your lungs so you can understand where tumors, non-cancerous nodules, and masses may appear and what that might mean for your health.
- Your lungs are a pair of asymmetrical, pyramid-shaped organs that oxygenate your blood and remove the waste product carbon dioxide.
- Your trachea carries air into your lungs through large airways called bronchi. Further into your lungs, the bronchi divide into ever-smaller passageways called bronchioles.
- The bronchioles lead to clusters of tiny air sacs, your alveoli. Your alveoli filter out carbon dioxide, exchanging it for oxygen with each breath you take.
- The external surface tissue that covers your lungs is called the pleura. Between the lung surface and the pleura is a lubricating fluid that allows your lungs to expand and contract smoothly.
Before we dive in, let’s clarify some terms. A tumor measuring an inch or less is called a nodule - this is smaller than a mass. If you have a nodule in your lungs, it’s called a pulmonary nodule. Your doctor might also refer to a nodule or mass as a neoplasm or lung nodule.
How Common are Lung Nodules?
Some statistics about lung nodules and masses show how common benign lung tumors are:
- One out of 100 computed tomography (CT) scans reveals a pulmonary nodule or mass. Of these, 99 percent are benign1.
- A chest X-ray reveals nodules in about one in 500 patients, 60 percent of which are benign.
- 50 percent of smokers over 50 have nodules that show up on a CT scan.
Types of Benign Lung Tumors, Nodules, and Masses
There are several types of benign lung tumors, non-cancerous lung nodules, and masses, and they can be difficult to remember. We’ll go through them one at a time.
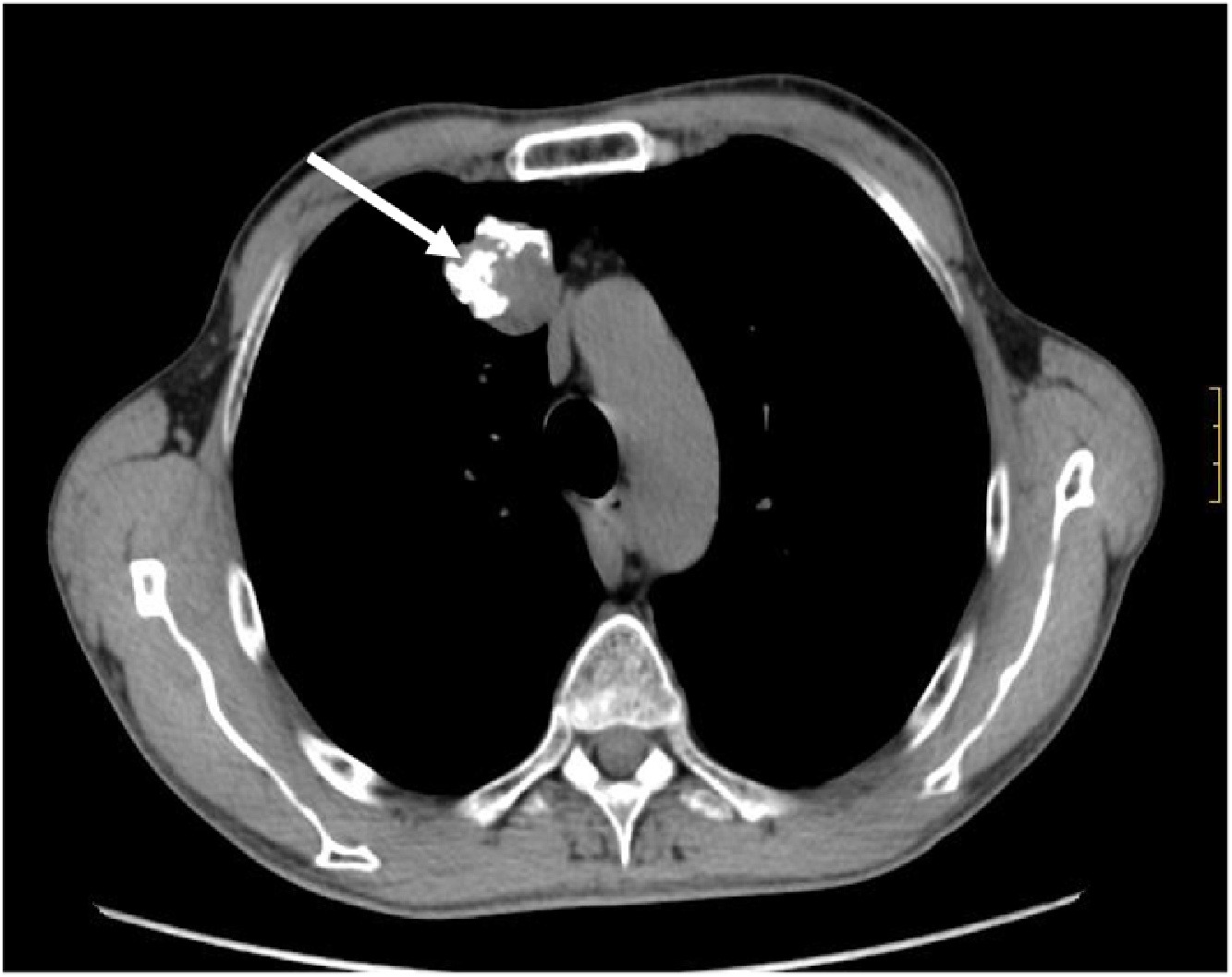
Hamartoma - The most common benign lung nodule is called a hamartoma. Hamartomas are clumps of normal connective tissue (cartilage), fat, and muscle that measure less than 2 inches2. They show up on imaging as round, white spots in your lungs. Hamartomas account for about 75 percent of all benign lung tumors. Nearly 80 percent of this nodule type occurs in your lung’s connective tissues, while the remaining 20 percent show up inside your bronchial tubes. More men than women develop hamartomas by a 2:1 margin3.

Adenomas - Another common type of benign tumor is adenomas, which grow out of epithelial tissue that lines your organs. Adenomas most commonly grow in your bronchi (bronchial adenomas), as well as in the alveoli and mucus glands4.
Papilloma - A less common benign tumor is a papilloma, which grows as a protrusion on the surface of your bronchial tubes. Squamous papillomas grow on squamous cells - thin, flat cells on tissue surfaces - and may occur in children or adults5. Far less common, glandular papillomas develop as a single nodule and in larger airways than a squamous papilloma6. They can potentially become lung cancer.
Other kinds of benign tumors include chondromas, fibromas, neurofibromas, and lipomas, which are all tumors of your cartilage, fibrous, or fatty tissues.
Do Benign Lung Tumors Have Symptoms?
Not always. Because symptoms are so rare, more than 90 percent of lung nodules are found by accident during a routine check-up, a chest X-ray, or a CT scan you took for another reason7.
But if you have symptoms, they could include:
- Mild persistent cough
- Wheezing, shortness of breath, or trouble breathing
- Discomfort in the chest
- Coughing up blood (hemoptysis)
- Rales (rattling sounds when you inhale)
- Hoarseness when talking
- Difficulty swallowing
While benign tumors are not malignant, they can lead to complications that need medical attention. For example, benign lung nodules can block airways, leading to infection8.
Risk Factors and Causes
The causes of benign lung tumors are poorly understood, but they are associated with a range of environmental and genetic factors:
Smoking - Damage to the lungs caused by smoking, as well as exposure to pollution, can lead to mutations that increase the chances of benign and malignant tumors developing.
Infections - Inflammation caused by infections like tuberculosis and fungal infections can cause damage that leads to the development of nodules and benign tumors9.
Congenital Factors - Congenital refers to an issue that is present at birth, and there is some evidence that harmatomas are associated with developmental abnormalities10.
How Will My Medical Practitioner Diagnose My Lung Tumor?
Benign lung tumors are normally discovered when healthcare providers are performing checks for separate issues. This may be during an X-ray or a CT scan, and often, images from CT scans can be used by doctors to determine whether a tumor is benign. If healthcare professionals are concerned a tumor might be cancerous, they might order a PET scan. If more information is required, a bronchoscopy might be performed.
Endobronchial ultrasound bronchoscopy (EBUS) uses a bronchoscope (a small flexible tube equipped with a camera) to examine and diagnose several lung conditions11. A physician specializing in the respiratory system, or a pulmonologist, inserts the probe into your mouth, trachea, and lungs, often while you are under anesthesia.
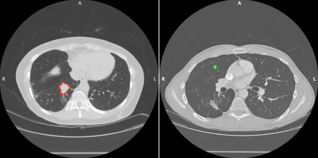
Your healthcare team will then use other information about your nodule to determine if it’s benign. Here are some common indicators of benign lung nodules:
- Small size
- Slow growth
- Higher calcium content
- Smooth, even shape
- Even color
If a tumor is more than 8mm in size, a biopsy may also be taken so cells in the tumor or nodule can be examined more closely12. Fine needle aspiration is one kind of needle biopsy procedure (there are many others). Using the needle, they take a tissue or fluid sample from the abnormal cell growth13. For this procedure, the technician inserts a thin needle into the abnormal tissue, guided by fluoroscopy or computed tomography.
Do Benign Lung Tumours Require Treatment?
Unless your benign tumor is so large that it’s pressing against neighboring tissues or causing pain or disfigurement, your healthcare team is unlikely to recommend treatment. Instead, an approach of ‘watchful waiting’ is often taken, in which potentially dangerous tumors are monitored by CT scan and X-ray to see if they might change and spread12. Similarly, if you have fibroid tumors or warts, your doctor will want to monitor them for growth or spread to be sure they aren’t pre-cancerous.
The monitoring schedule will depend on the size and characteristics of the growth, but generally takes place over the course of months or years.
Your healthcare provider might recommend removing a benign tumor if they think it is likely to become cancerous or if you are experiencing serious side effects like difficulty breathing.
Lung Cancer: When a Tumor Becomes Malignant
Lung cancer is the second most common cancer in American men and women, according to the American Cancer Society14. There are two types of lung cancer:
- Carcinoid tumors are slow-growing neuroendocrine cancers that can appear in your digestive tract or lungs15.
- Lung carcinomas start in the tissues that line your lungs. They can metastasize but don’t always16.
Malignant tumors are generally larger in size, with the majority of them being more than 2cm in diameter. They tend to be more irregular in size with thick, hard walls. Malignant tumors are much faster growing and can double in volume every 30-400 days17. One way to improve your lung cancer treatment options is to detect it at an early stage.
Malignant tumors in the lungs may need surgical intervention—a lobectomy (removal of a lung lobe) or a resection (surgical removal) of any surrounding tissue or lymph nodes that may be affected.

Other Health Issues That Affect the Lungs
Other lung diseases and conditions may cause scarring and lesions in the lungs:
- Your doctor may refer to your benign tumor as a lesion. A lesion in your lungs is any abnormal change that results from a disease or injury. Lesions are categorized as benign, malignant, or premalignant. A premalignant lesion is a formerly benign area that’s evolving into a malignancy.
- A mixed squamous/glandular papilloma is an example of a benign lung nodule that could become malignant.
- A bacterial or inflammatory disease, such as sarcoidosis or rheumatoid arthritis, can cause lesions.
- Sarcoidosis is an inflammatory disease that affects multiple organs, mostly your lungs and lymph glands. Abnormal masses or nodules of inflamed tissues (granulomas) can change normal organ structure and possibly function.
- Benign rheumatoid nodules can form in the lungs or other parts of the body and are typically asymptomatic.
- Calcified granulomas in the lungs usually occur because of bacterial or fungal infections such as histoplasmosis, a fungal infection common in the central and eastern U.S., South America, Africa, Asia, and Australia.
- Granulomatosis (or Wegener’s granulomatosis) is a somewhat rare disorder that causes inflammation of the blood vessels in your lungs, nose, sinuses, throat, or kidneys. It can decrease blood flow to your lungs or other organs.
Ezra Can Help You Screen for Potential Lung Abnormalities Early
Benign tumors in the lungs are relatively common and typically not an issue to be overly concerned about. Nevertheless, they can sometimes be a precursor to something more serious. In this case, early detection is cancer’s greatest weakness.
You can stay on top of your lung health by booking a regular annual MRI Scan, which includes a low-dose chest CT scan.
Frequently Asked Questions (FAQs)
Q: What percentage of lung masses are cancerous?
A: Less than 5 percent of lung masses turn out to be cancerous.
Q: Can a benign lung nodule become malignant?
A: Some benign tumors have the potential to become cancerous over time, in particular Squamous papillomas.
Q: Do benign lung nodules grow?
A: Yes, benign lung nodules grow, but generally at a slower rate than malignant tumors.
Q: Do benign lung nodules light up on PET scan?
A: Lung nodules will light up on a PET scan if they are rapidly growing. Nodules that show up on a PET scan are more likely to be cancerous.
Q: Can a spiculated lung nodule be benign?
A: Spiculation of a nodule, where it has jagged, irregular edges, is a sign that it is more likely to be cancerous.
Q: What is the average size of a benign lung nodule?
A: Benign lung nodules are normally less than 2cm in diameter.
Q: When should I worry about lung nodules?
A: Most lung nodules discovered during scans are completely harmless and don’t require any treatment at all. Your healthcare provider might order extra tests to check if closer monitoring of a lung nodule is needed.
Q: What kind of infections cause lung nodules?
A: Lung nodules are associated with bacterial infections like tuberculosis and pneumonia and fungal infections like Histoplasmosis.
Q: Do benign lung nodules go away?
A: Yes, benign lung nodules will sometimes go away without any treatment.
Understand your risk for cancer with our 5 minute quiz.
Our scan is designed to detect potential cancer early.
References
1. Lung Nodules | Condition | UT Southwestern Medical Center. Accessed April 7, 2025. http://utswmed.org/conditions-treatments/lung-nodules/
2. Hamartoma: Practice Essentials, Pathophysiology, Etiology. Published online January 25, 2024. Accessed April 7, 2025. https://emedicine.medscape.com/article/1254012-overview?form=fpf
3. Gjevre JA, Myers JL, Prakash UB. Pulmonary hamartomas. Mayo Clin Proc. 1996;71(1):14-20. doi:10.4065/71.1.14
4. Bronchial Adenoma: Practice Essentials, Pathophysiology, Etiology. Published online February 26, 2025. Accessed April 7, 2025. https://emedicine.medscape.com/article/295573-overview?form=fpf
5. Squamous cell papilloma. DermNet®. October 26, 2023. Accessed April 7, 2025. https://dermnetnz.org/topics/squamous-cell-papilloma
6. Kaseda K, Horio H, Harada M, Hishima T. Solitary glandular papilloma of the peripheral lung: a report of two cases. World J Surg Oncol. 2014;12:149. doi:10.1186/1477-7819-12-149
7. Lung Nodules. National Jewish Health. Accessed April 7, 2025. https://www.nationaljewish.org/conditions/lung-nodules
8. Oguma T, Takiguchi H, Niimi K, et al. Endobronchial Hamartoma as a Cause of Pneumonia. Am J Case Rep. 2014;15:388-392. doi:10.12659/AJCR.890869
9. Akçiçek E, Durhan G, Düzgün SA, et al. Non-metastatic causes of multiple pulmonary nodules. Insights Imaging. 2024;15:288. doi:10.1186/s13244-024-01856-9
10. Gabrail NY, Zara BY. Pulmonary hamartoma syndrome. Chest. 1990;97(4):962-965. doi:10.1378/chest.97.4.962
11. Endobronchial Ultrasound (EBUS) | American Lung Association. Accessed April 7, 2025. https://www.lung.org/lung-health-diseases/lung-procedures-and-tests/endobronchial-ultrasound-ebus
12. Loverdos K, Fotiadis A, Kontogianni C, Iliopoulou M, Gaga M. Lung nodules: A comprehensive review on current approach and management. Ann Thorac Med. 2019;14(4):226-238. doi:10.4103/atm.ATM_110_19
13. Lung Biopsy. August 8, 2021. Accessed April 7, 2025. https://www.hopkinsmedicine.org/health/treatment-tests-and-therapies/lung-biopsy
14. Lung Cancer Statistics | How Common is Lung Cancer? Accessed April 7, 2025. https://www.cancer.org/cancer/types/lung-cancer/about/key-statistics.html
15. Definition of neuroendocrine - NCI Dictionary of Cancer Terms - NCI. February 2, 2011. Accessed April 7, 2025. https://www.cancer.gov/publications/dictionaries/cancer-terms/def/neuroendocrine
16. What Is Lung Cancer? | Types of Lung Cancer. Accessed April 7, 2025. https://www.cancer.org/cancer/types/lung-cancer/about/what-is.html
17. Kandel P. Benign vs malignant pulmonary nodule | Radiology Reference Article | Radiopaedia.org. Radiopaedia. doi:10.53347/rID-153664
