The lungs are a vital part of the body located in the chest cavity. They play a significant role in the respiratory system, responsible for the absorption of oxygen from the air and the removal of waste gas (carbon dioxide) from the blood. When the lungs become obstructed (blocked), this impacts how well a person can breathe and massively affects their quality of life. One of the most common contributors to lung obstruction is chronic obstructive pulmonary disease (COPD), which is a disease that worsens over time and limits air flow. This blog will outline the causes, symptoms, and diagnosis of lung obstructions, and the best methods for prevention and treatment.
What is a Lung Obstruction (Blockage)?
Lung obstruction and blockage are conditions that limit or completely stop airflow into and out of the lungs1. These obstructions can happen anywhere in the respiratory tract, from the large airways (bronchi) to areas deeper in the lungs like the smaller bronchioles and alveoli1. Symptoms can include wheezing and breathlessness1. Common causes include mucus plugs, often seen after surgery, in cystic fibrosis patients, or during asthma and COPD flare-ups, as well as inflammation from chronic bronchitis or allergic reactions. They can also be caused by tumors, both non-cancerous (benign) and cancerous (malignant)2.
Airway obstruction classification
Airway obstructions are classified depending on where the blockage happens and what is being obstructed1:
- Chronic airway obstructions: Can occur from blockages that are prolonged or develop over a long period
- Acute airway obstructions: Can develop quickly, for example, choking on a foreign object
- Complete airway obstructions: Airflow is fully restricted, preventing breathing
- Partial airway obstructions: Some airflow can still pass through the lungs, however, breathing is difficult
- Upper airway obstructions: Occurs in the area between your voice box (larynx) and the lips and nose
- Lower airway obstructions: Can occur between the narrow passageways of your lungs and your voice bo
Risk Factors for Lung Obstruction and Blockage
There are several risk factors for lung obstruction, outlined here1:
- Age – children and older adults are more susceptible to obstruction caused by foreign objects
- Smoking and secondhand smoke exposure
- COPD and chronic respiratory conditions
- Occupational exposure, such as dust and fumes
- Asthma or allergic airway inflammation
- Family history of lung disease
Causes of Lung Obstruction
Smoking: Damage to parts of the lungs called the alveoli and protection mechanisms (such as cilia) causes chronic inflammation of the airways and increased mucus buildup. Around 70 - 90 percent of all COPD cases are due to smoking3.
Chronic bronchitis: Over time, repeated inflammation of the bronchi causes increased production of sticky mucus4.
Asthma: Inflammation causes the airway to narrow and the increased secretion of mucus5.
Tumors or growths: Both cancerous and non-cancerous tumors can cause physical blockages2
Mucus plugs: Often found in people with cystic fibrosis, where extra concentrated mucus sticks to the airways6. Mucus plugs can also occur in people with infections or COPD4.
Foreign body aspiration: Children under 3 years old are usually more susceptible to obstructions through swallowing toys. Older adults are also susceptible due to impaired swallowing1.
Symptoms of Lung Obstruction
Many of the symptoms of lung obstruction can range from mild to severe, often progressing over time, they include the following1,2:
- Shortness of breath
- Rapid breathing
- Chronic cough (with or without mucus)
- Wheezing or whistling sounds
- Chest tightness or pain
- Skin and lips turning blue
- Frequent respiratory infections
- Fatigue and low exercise tolerance
Impact on Lung Function
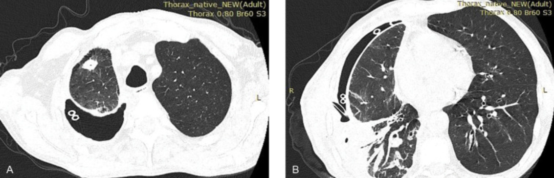
When the lungs are obstructed, it becomes difficult to breathe in enough oxygen and to effectively exhale. This leads to a buildup of carbon dioxide in the blood, which is known as hypercapnia7. Over time, this can significantly drain energy levels and have negative effects on heart function. Imaging tests like computed tomography (CT) scans or pulmonary function tests may help assess lung damage and guide healthcare professionals in choosing the best treatment options1,2.
Diagnosis, Detection, and Monitoring
Pulmonary function tests (spirometry):
- How it works: Measures how much air you can inhale and exhale and how fast you can exhale using a tube connected to a device called a spirometer8.
- What it’s used for: Diagnosis for COPD, asthma, and cystic fibrosis by measuring the severity of lung damage and the response to treatment8.
Chest X-rays or CT scans:
- How it works: Chest X-rays use high doses of ionizing radiation to create 2D images of the chest. CT scans are much more sensitive and use a series of X-rays combined with computer processing to give more detailed 3D images of the chest.
- What it’s used for: To locate and identify blockages and any structural changes, such as infections or inflammation1.
Bronchoscopy:
- How it works: A tool called a bronchoscope is inserted into the mouth or nose to view inside the lungs1.
- What it’s used for: Identification of foreign objects, removal of mucus plugs, and diagnosis of infections by mucus sampling1.
At Ezra, we offer full-body scans, including low-dose CT scans of the lungs, that can screen for potential obstructions and monitor structural lung changes. This can be especially helpful for people with a history of smoking or symptoms that have been dismissed.

Treatment Options
Medications: Bronchodilators, corticosteroids, and antibiotics if an infection is diagnosed2
Pulmonary rehab: Exercise and breathing techniques2,9
Surgery or bronchoscopy: To remove severe obstructions or tumors2
Oxygen therapy: For the treatment of advanced COPD or chronic blockage9
Prevention and Lifestyle Considerations
Smoking is one of the biggest risk factors for diseases that lead to lung blockage3. Quitting smoking and avoiding secondhand smoke significantly reduces the risk of developing conditions like COPD9. Using protective equipment like masks in high-risk environments can further protect the lungs from dust and chemicals9. Engaging in regular exercise can also be beneficial to help strengthen the lungs9.
The best way to prevent lung obstruction is to have regular checkups with your healthcare provider, especially if you are at risk for COPD9. Early screening options, like low-dose CT scans offered at Ezra, can screen for any changes in lung health before symptoms worsen. Taking these proactive steps is crucial for maintaining respiratory health.
Summary
Lung obstruction is common, but can be managed if detected early. Chronic lung symptoms shouldn’t be ignored, as early screening can massively improve quality of life and even save lives. If you are experiencing symptoms of COPD or have a history of smoking, consider being proactive about your health and booking Ezra’s full-body MRI for screening of the lungs and beyond.
Ezra offers fast, non-invasive full-body MRI scans that can detect abnormalities in up to 13 organs. Take control of your health with early detection—book your Ezra Scan today.
FAQ
Q: Can lung obstructions be reversed?
A: Chronic lung obstructions like COPD cannot usually be reversed, but treatment and quitting smoking can significantly reduce symptoms and help prevent further lung damage3,9.
Q: How does smoking lead to blockages
A: Smoking is the leading cause of COPD, causing inflammation and damage to the airways and lungs3.
Q: What distinguishes a lung obstruction from other respiratory issues?
A: Lung obstruction causes narrowing or blockage of the airways, making it mostly difficult to get air out of the lungs (exhaling), examples include asthma and COPD1.
Q: What does a partially collapsed lung feel like?
A: Sudden chest pain and shortness of breath, with pain worsening when taking deep breaths or when coughing10.
Q: How long can you live with obstructive lung disease?
A: Living with diseases like COPD can reduce life expectancy if left undetected or untreated. But with proper management and lifestyle changes, people can live for many years9.
Q: How long can a collapsed lung go unnoticed?
A: This depends on how badly the lung has collapsed and the symptoms. With small lung collapses and mild symptoms, some people may ignore the symptoms for quite some time. When a significant lung collapse happens, the symptoms are much more severe and harder to ignore10.
Understand your risk for cancer with our 5 minute quiz.
Our scan is designed to detect potential cancer early.
References
1. Moyer KM. What Causes an Airway Obstruction, and How Is It Treated? Healthline. July 19, 2021. Accessed April 23, 2025. https://www.healthline.com/health/airway-obstruction
2. Cleveland Clinic. Atelectasis. Diseases & conditions. October 11, 2022. Accessed April 23, 2025. https://my.clevelandclinic.org/health/diseases/17699-atelectasis
3. World Health Organization. Smoking is the leading cause of chronic obstructive pulmonary disease. November 15, 2023. Accessed April 24, 2025. https://www.who.int/news/item/15-11-2023-smoking-is-the-leading-cause-of-chronic-obstructive-pulmonary-disease
4. American Lung Association. Chronic Bronchitis. Accessed April 24, 2025. https://www.lung.org/lung-health-diseases/lung-disease-lookup/chronic-bronchitis
5. HU Medical Review Board. What Causes Asthma? Asthma. November 2021. Accessed April 24, 2025. https://asthma.net/causes
6. Balázs A, Mall MA. Mucus obstruction and inflammation in early cystic fibrosis lung disease: Emerging role of the IL‐1 signaling pathway. Pediatr Pulmonol. 2019;54(S3). doi:10.1002/ppul.24462
7. Barnes PJ, Burney PGJ, Silverman EK, et al. Chronic obstructive pulmonary disease. Nat Rev Dis Primer. 2015;1(1):15076. doi:10.1038/nrdp.2015.76
8. Pulmonary Function Tests. June 4, 2024. Accessed April 25, 2025. https://www.hopkinsmedicine.org/health/treatment-tests-and-therapies/pulmonary-function-tests
9. Gordon JP. Can COPD Be Reversed? Healthline. August 22, 2024. Accessed April 24, 2025. https://www.healthline.com/health/copd/can-copd-be-reversed#can-it-be-reversed
10. Cleveland Clinic. Pneumothorax (Collapsed Lung). Diseases & conditions. November 16, 2023. Accessed April 24, 2025. https://my.clevelandclinic.org/health/diseases/15304-collapsed-lung-pneumothorax
