Bone tumours can replace bone marrow long before structural changes occur1. Therefore, waiting for X-ray findings may risk discovering the cancer too late. Magnetic Resonance Imaging (MRI) is a sophisticated technology that is excellent for detecting bone cancers due to its superior soft tissue contrast and ability to visualise bone marrow abnormalities before structural changes occur in the bone.
Its high sensitivity (91-95 per cent) and specificity (95-97 per cent) for detecting bone tumours, combined with the capability to delineate tumour extent and relation to surrounding structures, alongside its sensitivity to T1 marrow signal loss and oedema (swelling) due to fluid buildup, make MRI the imaging method of choice for comprehensive evaluation of primary bone cancers and metastases2–4.
Whole-body MRI, particularly with diffusion-weighted imaging (DWI), demonstrates superior or comparable sensitivity and specificity for detecting missed metastases compared to other imaging modalities such as bone scintigraphy (BS) and conventional radiography5. Rapid diagnosis accelerates care, leading to timely biopsy, treatment, or surgery, which are critical for improving the survival rate.
Learn more about MRI for cancer detection here.
A bone MRI is often recommended when a person experiences persistent, unexplained bone pain or swelling, especially near a joint or growth plate, or if other scans, such as X-rays or computed tomography (CT), reveal abnormalities that could involve the bone marrow, such as a tumour or infection6,7.
It is also used before surgery or chemotherapy to map the extent of a tumour into surrounding soft tissue and to check for additional lesions in the same bone8. Furthermore, it can be used to monitor the effectiveness of treatment by looking for changes, such as new healthy marrow or signs of tumour cell death9.
Unlike X-rays or CT scans, MRI provides detailed images of both bone and soft tissue without using radiation, making it especially useful for diagnosing injuries, infections, tumours, and other bone or joint problems10.
Here are a few tips to help you prepare for your MRI11:
You can read more about preparation for Ezra’s Full Body Scan here.
Upon arrival for your MRI, you will need to check in and complete a screening form. This will allow you to confirm the presence of implants, allergies, and whether you might need any anxiety medication.
During the scan, you will lie down on a sliding table. A dedicated surface or phased-array coil is typically placed over the limb or region of interest12. Your head will be nestled in a small cushion that will keep you still. The scan typically lasts 30-45 minutes of actual “table time”, during which the technician may acquire multiple sequences (settings), including T1, T2/STIR, fat-suppressed post contrast, and DWI13. Expect loud knocking noises (up to 110 dB); earplugs or headphones are provided to reduce discomfort. It’s normal to feel mild table vibrations.
You’ll stay in touch with the team via a two-way intercom and a squeeze bulb, allowing you to communicate or pause the scan if needed. If contrast is required, it’s injected halfway through, possibly causing a brief cool sensation. After the final sequence, the coil is removed, and you’re free to go.
At Ezra, our Full Body Plus scan takes around 60 minutes total, with 45 minutes of table time. Earplugs or headphones are available.
After the scan, you will be contacted by a medical provider working with Ezra within roughly a week. On the day of the appointment, you will receive a copy of your report and access to your scanned images through the online portal.
MRI is generally considered very safe when proper screening and protocols are followed, but certain risks and side effects should be understood:
A deeper dive into possible side effects (such as heat, headaches, and gadolinium deposition) is available in our full guide.
At Ezra, we employ a contrast-free approach using wide-bore T3 machines to deliver a comfortable scanning experience.
There are a number of terms you might see in your MRI report after your brain scan. Here are some explanations for some common ones:
Intramedullary Extent: This refers to the extent to which the tumour has spread within the bone marrow cavity, which MRI measures precisely to help surgeons plan the most effective treatment approach4.
Cortical breach/destruction: Cortical breach means the tumour has broken through the hard outer shell of the bone, a sign of more aggressive disease that MRI can detect by showing gaps or thinning in the bone’s cortex20.
Soft-tissue extension: This describes when the tumour has grown beyond the bone into nearby muscles or tissues, which MRI reveals as a mass outside the bone’s surface4.
Periosteal reaction: Periosteal reaction is a pattern of new bone growth on the bone’s surface, such as “lamellated”, “spiculated”, or “Codman triangle”, which MRI can identify and classify to help determine how aggressive the tumour is21.
ADC (Apparent Diffusion Coefficient): ADC is a measurement from diffusion MRI that reflects the density of tumour cells; lower ADC values suggest the tumour is more cellular and likely malignant22.
Necrosis %: Necrosis percentage shows how much of the tumour is dead after chemotherapy, with MRI estimating this by measuring the non-enhancing (non-contrast-taking) areas23. Higher necrosis generally means a better response to treatment.
Skip lesion: A skip lesion is a separate area of tumour in the same bone but away from the main tumour, which MRI can detect. Finding these is important for complete surgical removal and accurate staging.
Ezra provides a radiologist-reviewed report in a non-technical and easy-to-understand format on your dashboard24.
After the MRI scan, you will be free to go home and continue with your day without any precautions25. If you received a sedative, you will need another person to pick you up. You will also not be able to drive, consume alcohol or operate heavy machinery 24 hours after the sedative.
A team of experts will review your results and determine whether a follow-up is necessary and recommend the appropriate treatment if needed. If abnormalities are found, you may undergo ongoing monitoring every 2-3 months to track recurrence. You can receive support in the form of counselling and advice on how to handle aspects like claustrophobia.
If you have a scan with us here at Ezra, you will receive your report within five to seven days and have the option to discuss it with a medical practitioner. You can also access your scan images through the online portal.
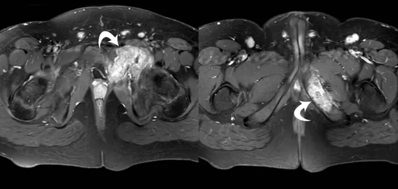
MRI is highly effective for evaluating bone cancer because it precisely shows the length and volume of the tumour, including how far it spreads inside the bone marrow (intramedullary spread) and whether it extends into nearby soft tissues26. This accuracy is crucial for planning limb-sparing surgeries, as MRI measurements of tumour boundaries closely correlate with what is found during surgery, allowing surgeons to determine safe margins for removing the tumour. MRI is also superior to other imaging methods for detecting subtle or early bone lesions, especially when radiographs or CT scans are inconclusive2,4.
In addition to mapping tumour size, MRI can distinguish between cortical destruction and an intact but thinned cortex, which is key for surgical decision-making26. It also shows the tumour’s relationship to important structures, such as nerves, blood vessels, and the joint capsule, helping surgeons avoid critical areas and achieve clear margins. MRI can detect periosteal reactions, such as laminated, sunburst, or Codman triangle patterns, that suggest tumour grade and aggressiveness, with diagnostic performance comparable to conventional radiography21.
MRI further shows soft tissue oedema (swelling) and areas of diffusion restriction (low ADC values), which indicate high tumour cell density and help differentiate malignant from benign lesions27. These imaging features not only guide diagnosis but also allow for monitoring how well the tumour responds to treatments, such as chemotherapy, by tracking changes in marrow signal and the percentage of tumour necrosis2.


Ezra screens for over 500 conditions in 13 organs, including the spine.
There are multiple types of MRI scans, all using different methods to give a better visualisation of bone tumours.
Ezra uses whole-body DWI imaging to get a full picture of the body and catch any potential abnormalities.
MRI costs vary depending on factors like scan type, facility, location, and insurance coverage. Hospital-based MRIs are generally more expensive than those at independent imaging centres. Patients can save money by comparing prices, exploring cash payment discounts, and utilising insurance benefits or financial assistance programs.
Ezra’s MRI Scan with Spine costs £2,395 and is currently available at their partner clinic in Marylebone, London and Sidcup, with more locations planned in the future.
MRI is often the best scan for detecting and precisely assessing bone cancer, as it provides detailed images of bone and surrounding tissues and can help distinguish tumours from other causes of bone changes.
Yes, a hip MRI can detect both benign and malignant tumours in the hip area, as well as show their size, extent, and relationship to nearby structures.
MRI is generally more accurate than a bone scan for diagnosing bone cancer and assessing its local extent, while a bone scan is better for screening the whole skeleton for cancer spread.
X-rays are a common first step and can often reveal bone cancer as ragged or abnormal areas, but further tests like MRI or biopsy are usually needed to confirm the diagnosis.
A doctor may order a bone scan after an MRI to check for cancer that has spread to other bones or to investigate unexplained bone pain when MRI or X-ray results are inconclusive.
Ready to take proactive steps for your health? Book an Ezra full-body MRI today to detect any issues early and put you on the road to long-term health. Our yearly scan screens for potential cancers early, using AI to enhance the process, making it more efficient and affordable.
1. Sharma S, Sachdeva MUS, Rastogi P, et al. Bone Marrow Metastasis in a Suspected Case of Angiosarcoma Unravelled by Immunohistochemistry. Indian J Hematol Blood Transfus. 2022;38(2):432-433. doi:10.1007/s12288-021-01501-1
2. O’Sullivan GJ, Carty FL, Cronin CG. Imaging of bone metastasis: An update. World J Radiol. 2015;7(8):202-211. doi:10.4329/wjr.v7.i8.202
3. Aisen AM, Martel W, Braunstein EM, et al. MRI and CT evaluation of primary bone and soft-tissue tumors. AJR Am J Roentgenol. 1986;146(4):749-756. doi:10.2214/ajr.146.4.749
4. Nascimento D, Suchard G, Hatem M, et al. The role of magnetic resonance imaging in the evaluation of bone tumours and tumour-like lesions. Insights Imaging. 2014;5(4):419-440. doi:10.1007/s13244-014-0339-z
5. Lecouvet FE, El Mouedden J, Collette L, et al. Can whole-body magnetic resonance imaging with diffusion-weighted imaging replace Tc 99m bone scanning and computed tomography for single-step detection of metastases in patients with high-risk prostate cancer? Eur Urol. 2012;62(1):68-75. doi:10.1016/j.eururo.2012.02.020
6. Grønningsæter IS, Ahmed AB, Vetti N, et al. Bone marrow abnormalities detected by magnetic resonance imaging as initial sign of hematologic malignancies. Clin Pract. 2018;8(2):1061. doi:10.4081/cp.2018.1061
7. Tests and next steps for bone cancer. nhs.uk. June 2, 2025. Accessed July 3, 2025. https://www.nhs.uk/conditions/bone-cancer/tests-and-next-steps/
8. Deveza L, El Amine MA, Becker AS, et al. Association of MRI findings with intra-articular tumour extension. Bone Jt Open. 2024;5(10):944-952. doi:10.1302/2633-1462.510.BJO-2024-0047.R2
9. Fliedner FP, Engel TB, El-Ali HH, et al. Diffusion weighted magnetic resonance imaging (DW-MRI) as a non-invasive, tissue cellularity marker to monitor cancer treatment response. BMC Cancer. 2020;20:134. doi:10.1186/s12885-020-6617-x
10. Wu Y, Li D, Xing L, et al. Deriving new soft tissue contrasts from conventional MR images using deep learning. Magnetic Resonance Imaging. 2020;74:121-127. doi:10.1016/j.mri.2020.09.014
11. Radiology (ACR) RS of NA (RSNA) and AC of. Magnetic Resonance Imaging (MRI) - Head. Radiologyinfo.org. Accessed July 3, 2025. https://www.radiologyinfo.org/en/info/mri-brain
12. Gruber B, Froeling M, Leiner T, et al. RF coils: A practical guide for nonphysicists. J Magn Reson Imaging. 2018;48(3):590-604. doi:10.1002/jmri.26187
13. Tsuchiya K, Gomyo M, Katase S, et al. Magnetic resonance bone imaging: applications to vertebral lesions. Jpn J Radiol. 2023;41(11):1173-1185. doi:10.1007/s11604-023-01449-4
14. Gill A, Shellock FG. Assessment of MRI issues at 3-Tesla for metallic surgical implants: findings applied to 61 additional skin closure staples and vessel ligation clips. J Cardiovasc Magn Reson. 2012;14(1):3. doi:10.1186/1532-429X-14-3
15. Potential Hazards and Risks. UCSF Radiology. January 20, 2016. Accessed March 14, 2025. https://radiology.ucsf.edu/patient-care/patient-safety/mri/potential-hazards-risks
16. Costello JR, Kalb B, Martin DR. Incidence and Risk Factors for Gadolinium-Based Contrast Agent Immediate Reactions. Top Magn Reson Imaging. 2016;25(6):257-263. doi:10.1097/RMR.0000000000000109
17. McDonald RJ, McDonald JS, Kallmes DF, et al. Gadolinium Deposition in Human Brain Tissues after Contrast-enhanced MR Imaging in Adult Patients without Intracranial Abnormalities. Radiology. 2017;285(2):546-554. doi:10.1148/radiol.2017161595
18. Aboulafia AJ. CORR Insights®: What Is the Prevalence of Clinically Important Findings Among Incidentally Found Osseous Lesions? Clin Orthop Relat Res. 2023;481(10):2003-2004. doi:10.1097/CORR.0000000000002710
19. Mall MA, Stahl M, Graeber SY, et al. Early detection and sensitive monitoring of CF lung disease: Prospects of improved and safer imaging. Pediatr Pulmonol. 2016;51(S44):S49-S60. doi:10.1002/ppul.23537
20. Van der Woude HJ, Hazelbag HM, Bloem JL, et al. MRI of Adamantinoma of Long Bones in Correlation with Histopathology. American Journal of Roentgenology. 2004;183(6):1737-1744. doi:10.2214/ajr.183.6.01831737
21. de Sá Neto JL, Simão MN, Crema MD, et al. Diagnostic performance of magnetic resonance imaging in the assessment of periosteal reactions in bone sarcomas using conventional radiography as the reference. Radiol Bras. 2017;50(3):176-181. doi:10.1590/0100-3984.2015.0166
22. Nouh MR, Doweidar A, Khalil AME. Apparent diffusion coefficient (ADC): A potential in vivo biological surrogate of the incidentally discovered bone lesions at 3T MRI. Eur J Radiol Open. 2021;8:100386. doi:10.1016/j.ejro.2021.100386
23. Samimi MA, Mirkheshti N, Pazouki A. Assessing the Percent of Necrosis after Neoadjuvant Chemotherapy with 24hr Infusional Cisplatin/3 Days Doxorubicin Intermittent with Ifosfamide-Doxorubicin for Osteosarcoma. Int J Hematol Oncol Stem Cell Res. 2014;8(1):5-8.
24. Zampa V, Roselli G, Beltrami G. MRI of bone tumors: advances in diagnosis and treatment assessment. Imaging in Medicine. 2010;2(3):325–340.
25. MRI scan. NHS inform. Accessed July 3, 2025. https://www.nhsinform.scot/tests-and-treatments/scans-and-x-rays/mri-scan/
26. Jin T, Deng ZP, Liu WF, et al. Magnetic Resonance Imaging for the Assessment of Long Bone Tumors. Chin Med J (Engl). 2017;130(21):2547-2550. doi:10.4103/0366-6999.217087
27. Spuentrup E, Buecker A, Adam G, et al. Diffusion-Weighted MR Imaging for Differentiation of Benign Fracture Edema and Tumor Infiltration of the Vertebral Body. American Journal of Roentgenology. 2001;176(2):351-358. doi:10.2214/ajr.176.2.1760351
28. Fang X, Zhang W, Yu Z, et al. Periosteal new bone formation in Klippel-Trénaunay syndrome: a case report. BMC Pediatr. 2020;20:388. doi:10.1186/s12887-020-02298-0
29. De Beuckeleer LH, De Schepper AM, Ramon F, et al. Magnetic resonance imaging of cartilaginous tumors: a retrospective study of 79 patients. Eur J Radiol. 1995;21(1):34-40. doi:10.1016/0720-048x(96)81067-9
30. Saifuddin A, Mann BS, Mahroof S, et al. Dedifferentiated chondrosarcoma: use of MRI to guide needle biopsy. Clin Radiol. 2004;59(3):268-272. doi:10.1016/j.crad.2003.08.009
31. Cook GJ, Goh V. Functional and Hybrid Imaging of Bone Metastases. J Bone Miner Res. 2018;33(6):961-972. doi:10.1002/jbmr.3444
32. Murphey MD, wan Jaovisidha S, Temple HT, et al. Telangiectatic osteosarcoma: radiologic-pathologic comparison. Radiology. 2003;229(2):545-553. doi:10.1148/radiol.2292021130
33. Cè M, Cellina M, Ueanukul T, et al. Multimodal Imaging of Osteosarcoma: From First Diagnosis to Radiomics. Cancers (Basel). 2025;17(4):599. doi:10.3390/cancers17040599
34. Mulé S, Reizine E, Blanc-Durand P, et al. Whole-Body Functional MRI and PET/MRI in Multiple Myeloma. Cancers (Basel). 2020;12(11):3155. doi:10.3390/cancers12113155
35. Tang PLY, Méndez Romero A, Jaspers JPM, et al. The potential of advanced MR techniques for precision radiotherapy of glioblastoma. MAGMA. 2022;35(1):127-143. doi:10.1007/s10334-021-00997-y
36. Doi H, Ono A, Kawai A, et al. Magnetic resonance angiography without contrast enhancement medium in bone and soft tissue tumors. Oncol Rep. 2006;15(3):681-685.